图知网
搜索
首页
热门推荐
图片分类
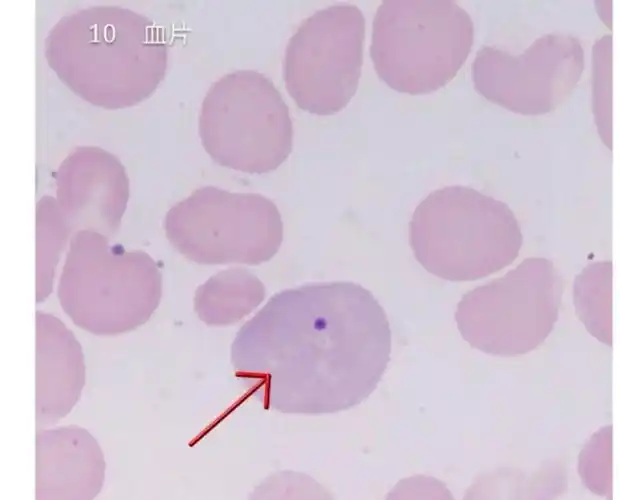
豪乔氏小体检验图
下载原图
相关图片
嗜多色性红细胞内一个豪焦小体,多见于溶贫,巨幼贫和mds.
学培训答案——城口县检验质控心承办2 答 案:有核红细胞内豪焦小体
的征象——靶形红细胞(红箭头),有核红细胞(左上)及豪焦小体(黑箭头)
尼氏小体
儿科学小儿营养性巨幼红细胞性贫血
10形态特征:胞体较大,圆形;胞质丰富,含有粗大饱满,大小均一,排列紧密
为你推荐
范冰冰身着龙袍礼服闪耀戛纳开幕式红毯
景观铺装 | 中式与现代地面铺装的常用材料
零度可乐无糖可口可乐500ml小瓶整箱夏季碳酸饮料碳酸饮料
起重吊装索具用前注意事项
100 pcs/lot new square design kraft blank sealing sticker f
时政〕"共和国勋章":钟南山
220v倒顺开关接线方法 求教!