图知网
搜索
首页
热门推荐
图片分类
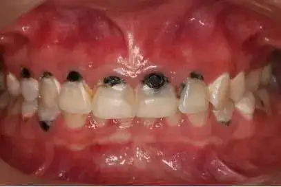
可乐牙真的不是假的_碳酸饮料_可乐_饮料_刷牙_惠州市自由行热门攻略
下载原图
相关图片
那些特别爱喝可乐的人他们的牙齿后来怎么样了
又遇"可乐牙"
新品美国tablecraft个性创意复古可乐牙签盒自动贩卖机造型按压牙
喝可乐久了牙齿会腐蚀掉碳酸饮料到底对牙齿有什么危害
喝可乐如何少伤牙?有3个办法
长期喝可乐牙齿真的会被腐蚀吗老外亲测看到结果瑟瑟发抖
为你推荐
手绘周杰伦头像
老脸一黑 - 一黑再也白不回来了 泣不成声 (恶搞兔表情包)_老脸_恶搞
19岁,后背长了很多痘痘,这是怎么回事啊?_皮脂腺_头发_谢娟
浆果.颜色数字.幼儿园适龄儿童数学研究照片
眉心有痣
苏州河.头像
高台血战红五军突围之际,政委送来命令必须死守,董振堂壮烈牺牲_手机
抓不住的东西,连伸手都是多余的#手机壁纸 #潮图壁纸