图知网
搜索
首页
热门推荐
图片分类
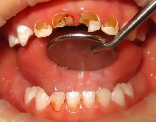
含着奶瓶睡觉牙齿就这样坏掉了
下载原图
相关图片
关注牙健康 | 预防"奶瓶龋" 这套攻略要收好
16图看奶瓶龋早期龋
最容易被家长忽略的宝宝奶瓶龋,你中招了吗?
如何预防奶瓶龋发生?
含着奶嘴睡觉这种坏习惯不改掉,很容易导致宝宝患上"奶瓶龋",不仅影响
【西班的牙】|什么是乳牙奶瓶龋 - 知乎
为你推荐
陈乔恩是乔任梁生
疯了!利拉德6战封神,背靠背99分诠释"曼巴精神"
跳绳线描简笔画~ 图一临摹,图二自己构思不小心把纸擦破了
剖腹产16天了,伤口好的不利索.谁能说说这是什么造成!中间有块发黄.
奥迪a5黑武士yyds.所有颜色的尽头都是黑色. 黑化到牙 - 抖音
9,元朝的政治制度
zsxin彩铅手绘栀子花开
非主流手机壁纸#素材来源于网络,若你喜欢需要高清原图的可以私 - 抖