图知网
搜索
首页
热门推荐
图片分类
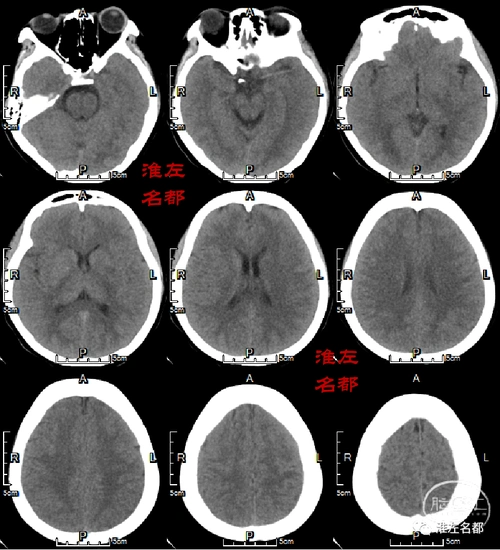
李医生说中风,基底节区最常见的脑梗死责任动脉
下载原图
相关图片
颅脑ct影像断层解剖ppt
影像总结头颅ct基本知识与常见病变
颅脑ct平扫:左侧基底节区可见少许低密度影,aspect-9.
读懂头颅ct并不难,教你成为读片小能手
解惑基底节基底节区
必看教程手把手教你看头颅ct
为你推荐
创造营2021「我心中的成团出道名单」
"香妃"刘丹:刚走红就惨遭车祸,不幸身亡太惨烈
电影蓝色生死恋全国公映宋慧乔宋承宪关注恩熙俊熙扮演者
出售手扶拖拉机
北师大版一年级下册语文《一粒种子》课件ppt
春天在孩子们的眼睛里——记云岩一小"寻找春天的足迹"特色作业
创制强袭高达
对号_复选框打钩图标【高清图标元素png素材】-90设计