图知网
搜索
首页
热门推荐
图片分类
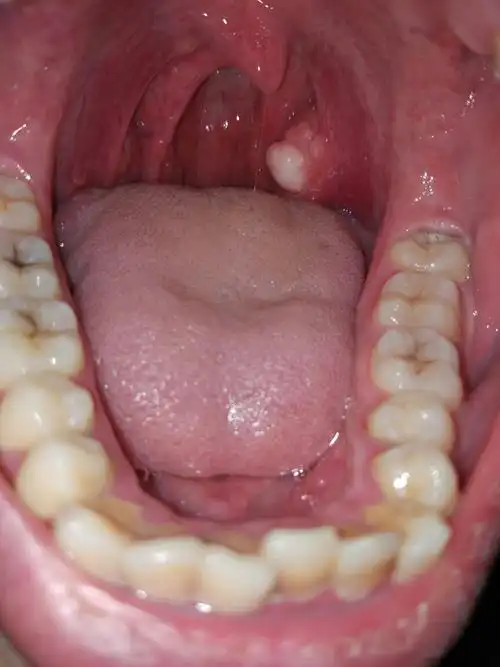
嗓子边上长了一个疙瘩,不疼也不痒,已经有两三年了
下载原图
相关图片
喉咙口,有个黄豆大,白色,略硬的疙瘩,是什么东西?
孕妇怀孕七个月喉咙长了白色的颗粒在肉里面,说话很疼,难受,请问医生
最近有点上火,嗓子干,看见左上鄂好像有个小疙瘩,咽喉正常么
您好医生我扁桃体旁边张了个疙瘩不疼也不怎么就是咽东西
六岁小孩,喉咙这个包是怎么引起的,该注意什么,请问这个包到底是什么
咽喉良性肿瘤
为你推荐
古天乐头像高清图片大全名人古天乐真实头像大图下载点击鼠标右键下载
《王沥川》焦俊艳高以翔最萌身高差甜炸
漩涡鸣人,想学画画的看过来.几号画的最高,#手绘 #漩涡鸣人 - 抖音
唯美古风古装清纯美女曹婉瑾高清壁纸
网友拍摄到的"地震云"
礼品堆堆出来!礼品送起来,存款涨起来
【2月/剧场版】新画面释出!真人版《猫和老鼠》电影发布日本版新预告
jgl112反时限过流继电器