图知网
搜索
首页
热门推荐
图片分类
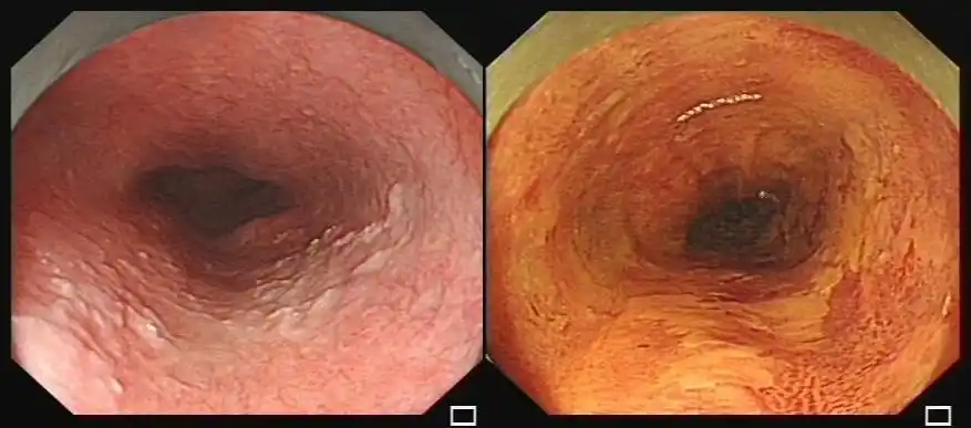
esd治疗食管早期癌(食管早癌)
下载原图
相关图片
全球一半食管癌在中国为啥河南人发病率那么高4个因素要警惕
早期食管癌的症状主要表现为三感一痛
早期食管癌(图谱)系列:白光与碘染
食道癌早期的四个特征需留意早发现早治疗或能躲过一劫
食道癌人快死的表现脚肿(食道癌人快死的表现)
早期食管癌(图谱)系列:白光与碘染
为你推荐
左滑帮我画完这张女生长发速写7815谢谢大家
美食图片欣赏——各式小炒牛肉2
女孩简笔画古装
宝宝身上的黑痣会癌变?如何判断要不要尽早切掉?
hellokitty凯蒂猫简笔画教程来啦超简单
女生长得特别丑怎么办?
唯美烟雾背景高清图片 - 素材中国16素材网
耐热高温玻璃泡茶壶茶具304不锈钢过滤加厚花茶壶水壶红茶冲茶器_7折