图知网
搜索
首页
热门推荐
图片分类
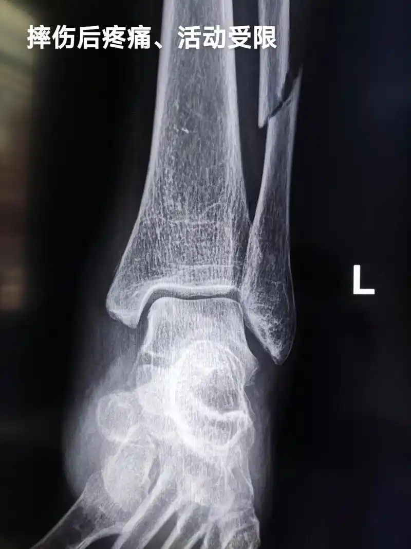
谁来试试,这个骨折怎么治? [病例帖]
下载原图
相关图片
医学影像 摔伤致左小腿下段疼痛,活动受限,x线见腓骨骨折, - 抖音
70岁老人不慎扭伤导致大腿骨折,竟然是恶性肿瘤骨转移
一例胫腓骨骨折
小腿骨折 男 26岁 没有错位石膏固定 多久可以拆石膏
胫骨骨髓炎陈旧骨折如何治疗? [病例帖]
外踝骨裂
为你推荐
"每天化妆"和"每天素颜",1年后有什么变化?建议女生进来了解
干净男生头像真人帅气图片酷酷的男生气质微信头像大全
台球简笔画马克笔
神秘的宇宙
《火蓝刀锋》7年后"男人婆"乌云留长发变美女,张冲眼光真不错
6015啡晨 罗麻布叶0 中药材 罗布麻叶茶罗布麻茶 罗布麻100克
阳鸿退休片区组织聚龙小镇一日游(20181026)
练习循环系统二十