图知网
搜索
首页
热门推荐
图片分类
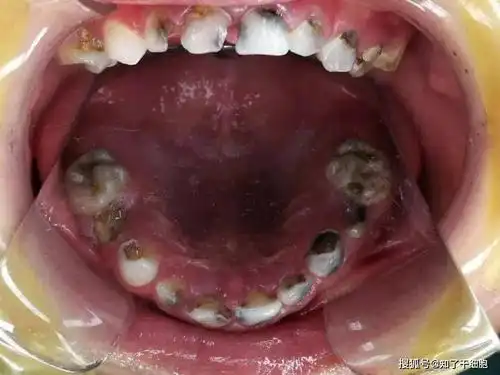
为何从来都不吃糖,3岁孩子却满口烂牙?
下载原图
相关图片
也坚信孩子天天刷牙,不吃糖,牙齿肯定不会坏
5岁男孩牙齿全坏最伤牙齿的居然不是糖而是
就吃个糖牙齿都能碎23岁的他到底经历了什么事
2岁小孩长小黑牙家长明明没怎么吃糖医生坏习惯导致
虫牙就这么出现了牙齿就会出现小黑洞了酸不能扩散,约1年时间[2]这层
4岁孩子不吃糖也长龋齿,什么原因?牙医:这事没做到位
为你推荐
李白《赠汪伦》 #硬笔楷书# #练字# #秀丽笔# #李白##赠汪伦
伊丽莎白塔是英国的,相信很多朋友看到伊丽莎白这几个字的时候就已经
《中医药法》主题宣传周暨河北中医药文化嘉年华活动启动仪式
绿色校园环保主题手抄报
这一次高德缺德了
你的名字情侣头像_情侣头像_窝窝qq网
如咳嗽哮喘声嘶慢性咽喉炎等伴随症状 食管炎常见的伴随症状有腹痛
现代餐厅后厨设计 - 效果图交流区-建e室内设计网