图知网
搜索
首页
热门推荐
图片分类
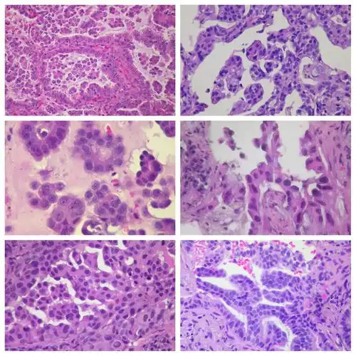
寻找典型的胸腹水中典型的腺癌细胞图片
下载原图
相关图片
腺癌是恶性上皮肿瘤的一种,癌细胞类似腺体的细胞,如肺内分泌粘液的
sk-ov-3 (人卵巢腺癌细胞)
腺癌?讨论病例【中美加非妇科病理交流群病例308】
腹水考虑腺癌讨论病例中美加非妇科病理交流群343
右侧胸水腺癌?讨论2018.09.24【91360细胞病理沙龙病例讨论85】
71岁女性患者!胸水腺癌细胞
为你推荐
周深- 大鱼海棠印象曲(b站窦老丝指弹绝美版) 吉他谱
身高182嫁给165的谢晖,39岁高龄产子,今过得怎么样|袁泉|陈龙|模特|保
创意美术军人简笔画许多男孩子小时候的梦想就是当一名军人-度小视
模拟房东经营收租游戏
香芋煲
深山里美味,我们家这边叫做"野山泡"
关于深圳疫情,国家卫健委明确了|疫情|卫健委|深圳市_新浪新闻
巴士二公司虹桥枢纽4路申龙l9d代车