图知网
搜索
首页
热门推荐
图片分类
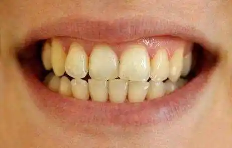
拯救大黄牙,迫在眉睫!!_画笔
下载原图
相关图片
顽固大黄牙 7 天变白,爆款牙贴,效果堪比洗牙_黎亚
大黄牙怎么办? 教你一个土办法祛除, 不用去洗牙
岛国变态洁牙擦,15秒解救大黄牙,轻轻一刷,拯救/茶牙/烟牙/咖啡牙!
我的大黄牙_黄牙_美妆_个人护理_口腔护理
这一嘴大黄牙,藏污纳垢,可见一斑…你们觉得呢?_百度知道
长沙科尔雅口腔超声波洁牙0元起,让您和牙结石说再见~-长沙科尔雅口腔
为你推荐
插画壁纸/油画壁纸/手机壁纸背景图/动漫壁纸高清壁纸/摄影/简约/可爱
我爱你 你也要记得爱我. 火箭少女101_张紫宁
英雄联盟水晶玫瑰伊泽瑞尔图片壁纸
高音谱号的象征
个故事,大意是说在汉朝时期,如今的陕西榆林地区有一个叫做王次仲的人
cole perkins (guitar, vocals), mike van dyk (bass), and chris
详细图解蝉的画法
2020款凯迪拉克ct5 - 抖音