图知网
搜索
首页
热门推荐
图片分类
玛丽女王二世号游轮su模型
下载原图
相关图片
1/400 玛丽女王2号 模型
超华丽船模1200玛丽女王2号跨大西洋游轮涉水
玛丽女王二世号游轮su模型
rms女王玛丽号和rms女王玛丽二号过去与现在的对比
玛丽女王二世号邮轮壁纸
solo 乘坐价值3500美元的英国跨大西洋豪华游轮玛丽女王2号 9297
为你推荐
旺财情侣名,男人旺事业财运的名字
660_977竖版 竖屏
这4种发型真不赖,又美又实用,喜欢别错过|发尾|纹理烫|碎发|短发|刘海
批发大两用测电笔 双批头大号试电笔 厂家直销 量大价优 质量保证
正方体积木数学教具木制立方形小方块拼搭积木幼儿园儿童玩具
买家具就买东方冠雅,环保,工艺都没法比,样子就不用说了,简单时尚大气
著名画家杨砚芬 | 国画人物欣赏(济公美图)
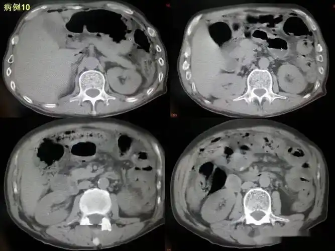
消化道穿孔ct影像大汇总看完印象深刻