图知网
搜索
首页
热门推荐
图片分类
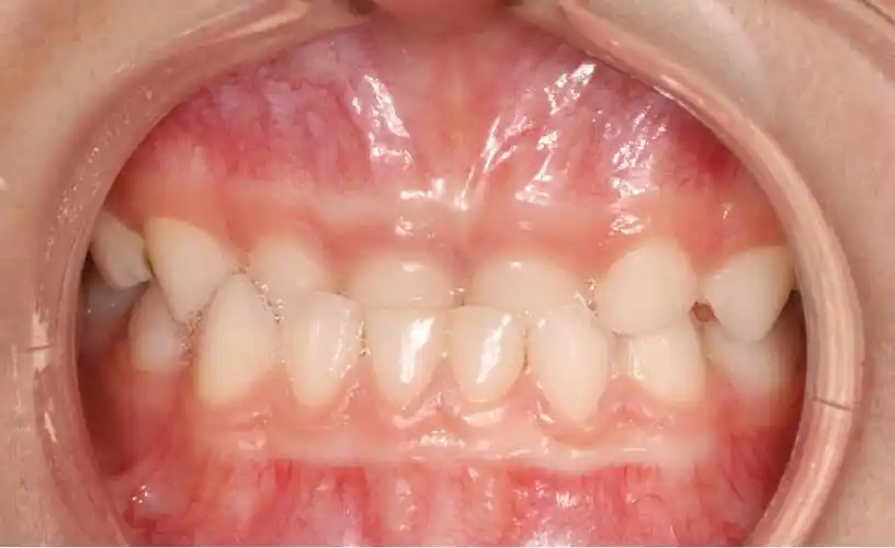
孩子牙齿"地包天"怎么办
下载原图
相关图片
宝宝牙齿出现"地包天"咋办?别错过"最佳治疗时间",家长牢记
在吗,我的牙是地包天我想矫正但我不知道我的是不是骨性的?
最勇敢的整牙小患者 3岁【地包天】
乳牙期地包天以牙性伴功能性为主,矫正方法也比较简单,常用矫治器有
引发地包天的不良习惯,牙齿矫正,地包天的不良习惯,牙齿矫正,牙科网
有没有成年地包天矫正经验的童子们?
为你推荐
韩雪慵懒可爱自拍照图片
几种,可说是完全不同的系列~略带俏皮的柑橘棕,无论是短发还是长发
人名logo设计
水果忍者游戏截图
【韩国性感女团-4l】4l- move mv
宇智波鼬
你看 果然腰粗了一圈(甄嬛传表情包)图片 - 酷图网
那一天,人们终于想起了,被班迪支配的恐惧