图知网
搜索
首页
热门推荐
图片分类
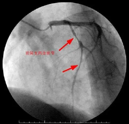
冠脉造影术——叶县二院介入科
下载原图
相关图片
学课件 冠状动脉cta 慢性心力衰竭 影像诊断 血管影像学 ct血管造影
冠状动脉造影
冠状动脉造影,左冠状动脉造影
正常冠脉造影和冠状动脉支架植入术图解
冠脉造影术在局部麻醉下进行,而血管及心脏内均无感觉神经,患者只在
【特别关注】怀仁市人民医院介入导管室完成冠脉造影11例,支架植入2例
为你推荐
张学友帅气有型写真图片46
【有检疫证】生牛肚5斤 新鲜牛胃
而女明星金晨作为公众人物,不仅在影视作品中有着出色的表现,更在现实
"斩男短发"怎么剪都好看
范丞丞真空西服造型
1920*1080酷炫壁纸 新手发福利
国画,写意梅花《喜上眉梢》#会意水墨画 #名人名家书画商城# - 抖音
火影忍者初代千手柱间