图知网
搜索
首页
热门推荐
图片分类
《骷髅魔法师》沉睡了一朝,一觉醒来,只剩下一具白皑皑的骷髅
下载原图
相关图片
的沙沙作响苦涩的决断牛头鬼森之尸彷徨的亡者死神骷髅魔法幽灵幽灵
overlord男主角骷髅魔法师飞鼠安兹·乌尔·恭手机壁纸图片(2)
ue免费分享_骷髅魔法师角色
恶魔战魔骷髅-带有剪切路径
他的知名作品《overlord》就是描写主角跑到异世界当起了骷髅魔法师
overlord男主角骷髅魔法师飞鼠安兹·乌尔·恭手机壁纸图片(3)
为你推荐
四代"腿影"黑土(统72,武80,智80,政93,魅98)
头发半扎起来,仙气唯美,这样的扎发发型难度低又好看,因此非常受女生
小年快乐#女生头像 #动漫女头 #甜妹头像 #可爱头像女卡通 - 抖音
女生头像高清 | 微丧动漫女头像_手机搜狐网
调色盘儿童画怎么画调色盘简笔画图片
【疫情不到校·居家学剪纸】第三十课·剪制"小动物"
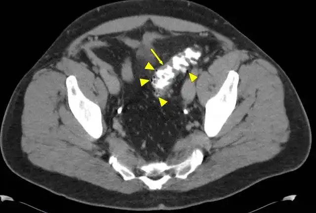
腹部ct在骨盆水平的腹部ct轴位图像:多发憩室和肠壁增厚(箭头)结肠镜
柳工clg856装载机