图知网
搜索
首页
热门推荐
图片分类
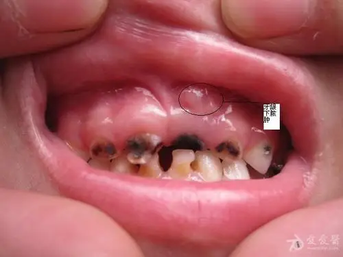
糖吃多了会长蛀牙,但这个3岁宝宝满口"黑牙",竟是因为
下载原图
相关图片
郑州友好儿童牙科
严重龋齿的图片_有来医生
儿童乳牙蛀牙细节图
其它 林儿的美篇 写美篇儿童龋病有哪些表现?
什么原因引起如此严重的龋齿
儿童龋齿形成的图片_有来医生
为你推荐
达芬奇
姐姐把他带大,成名后与其断绝关系,知道原因后,都觉得他做得对_刘德华
仓梵乐普升便利贴学生用便签贴纸n次贴便利签标记便利贴便签本百事贴
各种楼梯节点cad图
高清可爱萌萌的小熊头像图片
8/盒】奇正 青鹏软膏20g青鹏乳膏奇正 活血化瘀软膏 消炎消肿止痛膏
齐早大樱桃
抗击疫情,跟着和幼线上学.(第六期)——手工作品:拉手小人