图知网
搜索
首页
热门推荐
图片分类
13年帕萨特20t御尊版
下载原图
相关图片
2020款帕萨特评测内外兼修称得上中级车标杆
买车迎来好时机帕萨特新能源优惠抢先知
全新帕萨特助力商务精英赢取职场c位
贵阳大众帕萨特全系综合优惠3万元,需店内贷款
大众进口汽车官网(大众进口汽车精品商城)
2024款帕萨特:重新定义中型轿车的典范
为你推荐
一折博美犬活体_纯种博美犬幼犬活体茶杯犬博美俊介长
英国有一家与众不同的模特公司,该模特公司专门招聘"丑人模特".
rabbycc卡罗马卡龙可爱卡通图片壁纸高清大图预览1920x1080_卡通动漫
87版红楼梦林黛玉的5套春装,清新脱俗惊艳众生
蓝月传奇战士职业详解
[趣闻] 黑锋骑士团新一期学员毕业了请发出来你们的毕业照(职业坐骑
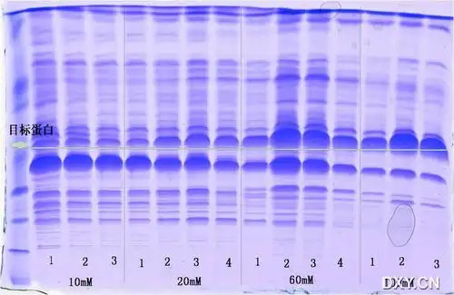
【求助】纯化his-tag 蛋白 不同咪唑浓度梯度洗脱 蛋白电泳图
丁_丁字怎么写好看_丁的写法_书法字典_大圈网