图知网
搜索
首页
热门推荐
图片分类
唐老鸭和黛丝玩偶图解
下载原图
相关图片
甜筒小可爱唐老鸭钩针图解
唐小鸭钩织图解
钩针图解:唐老鸭和柯基屁股图解!来,大家一起来钩屁屁
钩针唐老鸭黛丝情侣玩偶编织钥匙扣车挂件成品手工diy毛线材料包
钩针图解云#钩针图解#手工钩针编织
唐老鸭挂件附图解搬运工
为你推荐
qeelin全球品牌代言人刘诗诗
男士证件照发型参考
皮卡丘头像最萌可爱撒娇高清
晴雨交加
我宣布!时瑾和姜九笙是永远98在一起的! - 抖音
本田思域2017款10t自动舒适版180turbo国Ⅴ
国风清明上河图浮雕本本
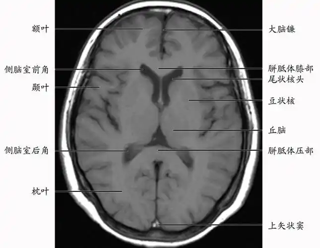
正常颅脑影像解剖图医学影像图