图知网
搜索
首页
热门推荐
图片分类
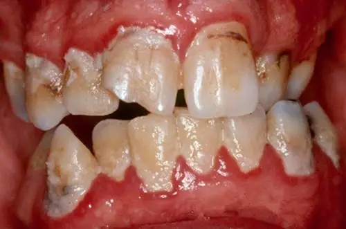
牙垢图片?谢谢
下载原图
相关图片
牙齿出现黑斑,像是污渍,却抠不掉刷不掉,这是怎么回事?
渲染平面风格设计的可爱字符兽医展示宠物狗的牙齿上涂有牙菌斑和焦油
牙菌斑牙齿图片33
牙菌斑是一种粘性薄膜
大话牙菌斑_牙体病_病因_症状_相关疾病 - 好大夫在线
牙菌斑|牙结石|漱口水|口腔|蛀牙_网易订阅
为你推荐
kakaotalk动态表情包饭团和朋友/微信动态素材/美图/可做贴纸装饰
黑白漫画风自截女生动漫头像高冷御姐可爱女头美化素材160张图
叶璇的魅力风采
"悲情才子"陈百强:跟何超琼的那场恋爱,改变了他一生的命运
马克笔手绘少数民族白族456
momo自杀游戏再升级恐怖女孩momo是谁momo恐怖游戏神秘电话短信需警惕
白色短款羽绒服怎么搭配好看
拼装纯素组显得多余的凑数后续机hg冥王星九型高达