图知网
搜索
首页
热门推荐
图片分类
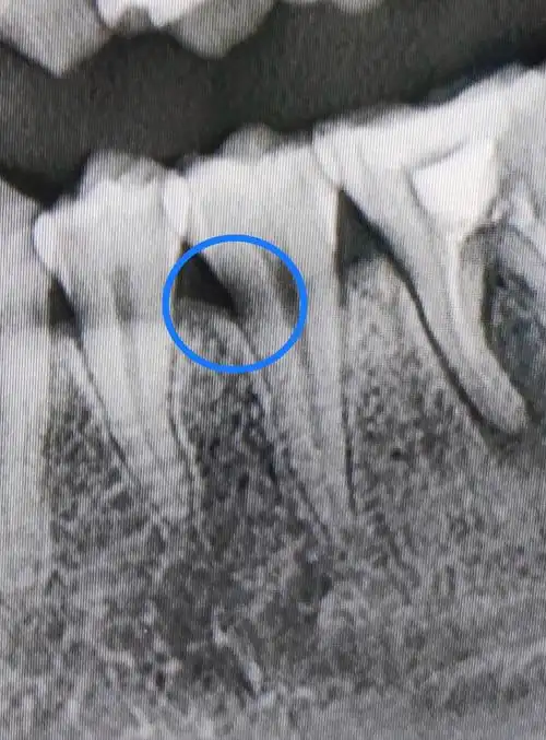
树脂补牙 预成冠 治疗期间发现乳五近中邻面龋
下载原图
相关图片
前牙邻面龋损修复1例
【病例分享】前牙邻面龋的治疗技巧
请问这是邻面龋嘛?像这样的,不疼又看不见到底在哪的医生会给补嘛?
乳磨牙的经典坏法---双邻面龋需要每天使.
小心邻面龋,一颗坏成俩! - 知乎
病例分享前牙邻面龋的治疗技巧
为你推荐
白敬亭越来越有魅力了!拍海边写真上演踏浪少年,肌肉线条感十足
纲手头像火影
资管大佬王国斌,拥有近30年金融证券投资从业经验,是国内证券市场入行
葵花 复方金银花颗粒 10g*8袋/盒
沉鱼落雁闭月羞花四条屏发行量6万套
天池每年有8000万吨水"来历不明"?专家:可能来自于青藏高原
录字的行书怎么写,录的行书书法 - 爱汉语网
卡通动漫头像_我要个性网