图知网
搜索
首页
热门推荐
图片分类
或电子刊或微博微吕一公众号发布),并同步提供给客户高清照片或视频
下载原图
相关图片
吕一清新优雅活动照高清图片
吕一长相自带柔弱滤镜可柔弱中带着倔强气
吕一-百科君
感谢闺蜜唐嫣打call,吕一"自己可以为自己赴汤蹈火"
如何评价吕一的颜值?
原创吕一自信乘风破浪身穿豆绿色纱裙仙剑剧组集体为她打call
为你推荐
杨洋曾经也被传出与李沁,宋茜,乔欣等恋情,但从未做出过回应.
笔软碳笔中硬绘画笔专用特软不断铅芯画画铅笔套装易削碳笔正品nyoni
宝格丽圆饼项链 #宝格丽大饼
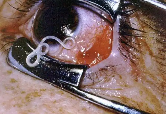
世界上十大最恶心的寄生虫 非常恶心恐怖
水彩合集手绘记录中华传统美食02
于和伟与妻子宋林静28年恩爱如初,网友:与杨童舒傻傻分不清楚
这家"物串局",除了火锅串串之外,美味的烧烤也能品尝得到啦
热搜警告//时代少年团贺峻霖//女装美出圈的人间bjd长什么样呢|2朊