图知网
搜索
首页
热门推荐
图片分类
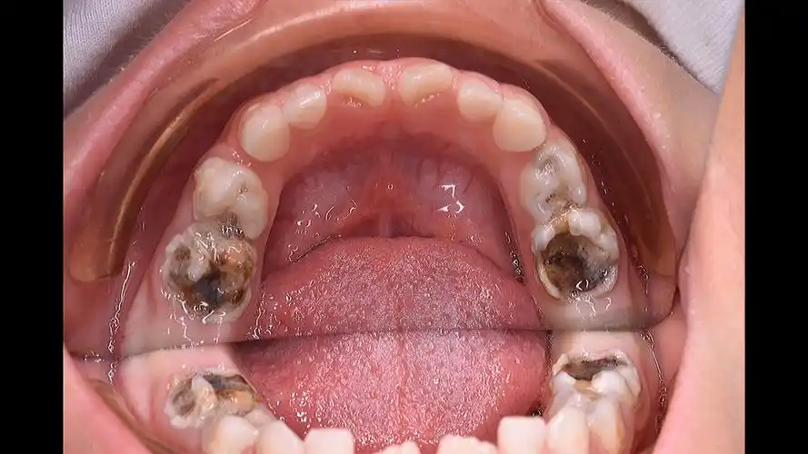
第二磨牙成了龋齿都已经烂空了是该拔掉还是补一补就可以了
下载原图
相关图片
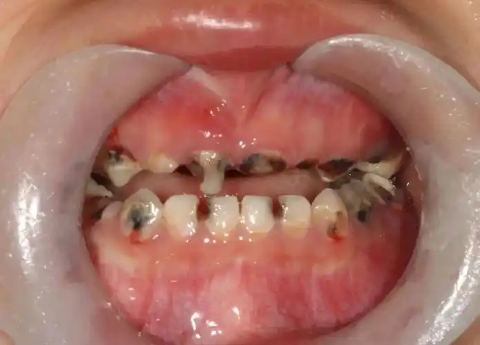
3岁半宝宝牙齿"全烂光",家长这些行为,是孩子烂牙的"帮凶"
龋齿已经烂空了怎么办 #让我看看你的牙 #口腔科普 - 抖音
小朋友一定要每天刷牙,使用牙线,要保护好牙齿哦
热搜蛀牙烂到牙神经有多疼告诉你牙齿烂到牙神经了怎么办
蛀牙
一颗烂牙引发骨髓炎四岁伢要刮骨疗毒
为你推荐
张艺兴杨紫互关张艺兴杨紫互关引热议
张信哲《信仰》吉他谱(演示&教学)_c调简单版_弹唱_六线谱-吉他粉
原神公子攻略我能想到的所有细节
儿童游泳衣可爱小女孩分体舒适三角裤泡温泉度假女童时尚泳装批发
时代少年团 宋亚轩 cr见水印
场景街道插画练习
肖战最新广告大片合集:roseonly,双立人,陌森眼镜,京东电器
甘肃省地图白银市是甘肃省的12个地级市,2个自治州等14个地级行政区划