图知网
搜索
首页
热门推荐
图片分类
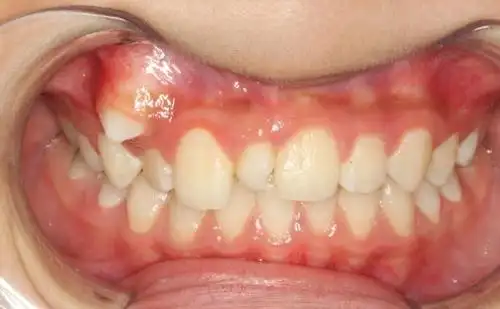
成人上下颌双侧前磨牙区7颗多生牙病例分析
下载原图
相关图片
宝宝有多生牙怎么办这些危害家长要重视
多生牙长出的位置不好应该要拔除吗
孩子出现多生牙别慌
术前口内情况,一颗多生牙长于腭侧骨内可见
右下颌45间多生牙
吓人的双排牙宝宝越来越多跟家长的一个坏习惯有关早点改
为你推荐
【blackpink】最新回归曲 kill this love 官方打歌舞台直拍合集 1080
1.yollgene 藤黄果2.奥普帝蒙3.诺特兰德4.六星5.普丽普莱6.
爱婚纱的女子背影都很美
恐龙时代有胎生哺乳动物存在吗?现代哺乳动物和恐龙有什么关系?
cf9周年庆典火热开启 超多福利等你来领
婚礼手绘纯白新娘效果图psd源文件分层素材设计婚庆道具婚纱
赵伟洲的相声水平这么高,为什么不学杨进明,到德云社来说相声呢
东施为什么要效颦一朝失态留下千古坏名