图知网
搜索
首页
热门推荐
图片分类
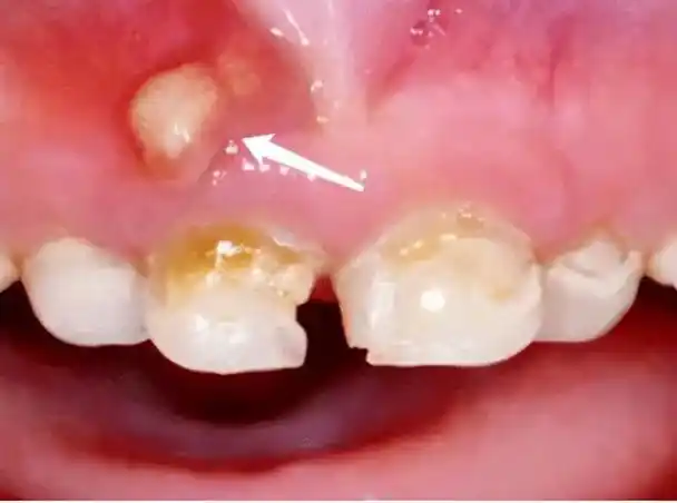
【牙龈脓包】牙龈上长脓包是怎么回事?可以自己挤掉吗?_手机搜狐网
下载原图
相关图片
边缘性龈炎下前牙区牙龈红肿图
牙龈鼓包
牙龈上长脓包的危害可不能小觑
儿童牙龈反复长脓包怎么办?
牙龈长脓包是怎么回事自己用针扎破或者挤破行吗
牙龈挤掉脓包后还反复长?要这样处理才行
为你推荐
王源高清图片 王源高清图片98/超级爱刚哥 小汤圆看过来
三人行看着你.凝聚力团队的行为.建立 ohesive 团队照片
激活自己活出精彩
2022上海地铁8号线沿线待售在售新房
我要在a4纸上打印出0001至1000的数字,用什么软件能快速搞定?
第三种:宿根满天星
亲子共读第430天,今天阅读感恩故事系列《红石竹花》