图知网
搜索
首页
热门推荐
图片分类
古风人物剪影
下载原图
相关图片
古风黑白男生头像
有没有古风背影图片有没有古风黑影背影的图
黑白古风,人物,背影
黑色戴斗笠人物背光剪影
中国风黑色水墨侠客武侠
插画/漫画 基三古风什么的
为你推荐
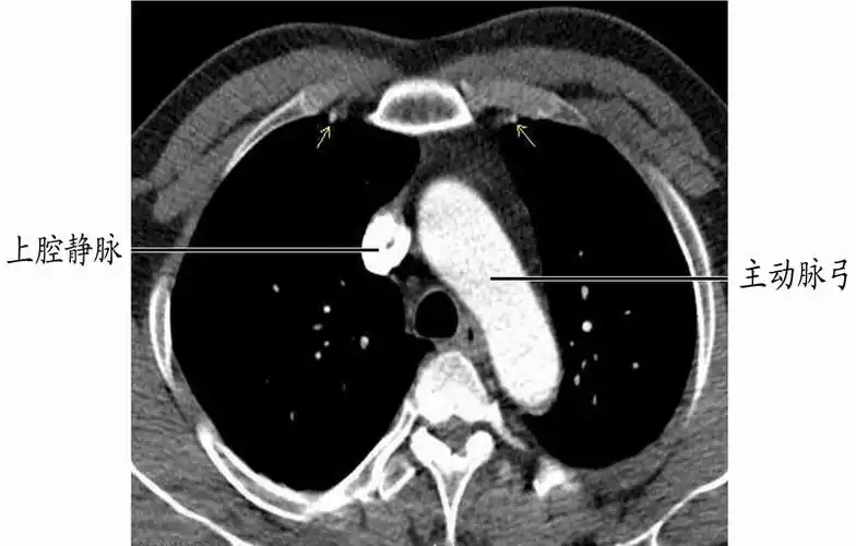
正常心脏大血管ebct增强扫描影像学表现-医学影像图
エヴァ01ketzalcoatl的新世纪福音战士eva插画图片
手工粽子
一年级语文上册教材
小rgsx250r落地费用
成都小草垛田野农场
夕又米
汉正街真的没落了吗它曾是全国小商品市场第一街武汉人的骄傲