图知网
搜索
首页
热门推荐
图片分类
按发生部位分为胆管结石和胆囊结石,胆管结石又可以分为肝内胆管结石
下载原图
相关图片
女子胆管内长出巨型结石重量超半斤比胆管粗了10倍
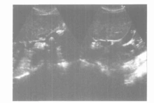
图1肝内胆管结石声像图
图片浏览
几十颗结石堵住胆管深圳医生为一病人成功换肝
复旦研究生对室友投毒,判死刑后,177名师生为何为他写求情信?
普外科专业,率先在温州地区开展经胆道镜取石治疗肝内胆管结石
为你推荐
路人镜头下的吴昕太真实粉裙配金链包包超土气小粗腿没得p了
一线女明星名单有哪些中国内地线星榜的女明星
水旱两用履带旋耕机
环节动物图片
带证书18k金镶嵌翡翠圆牌简约冰糯种无事牌飘花平安扣吊坠小玉坠
落花有意,流水无情,潮到空城头尽白.离歌一曲怨残阳.断人肠, - 抖音
[分享]一套完整室内装修图纸资料免费下载
亲测好喝6030种水果榨汁最佳搭配