图知网
搜索
首页
热门推荐
图片分类
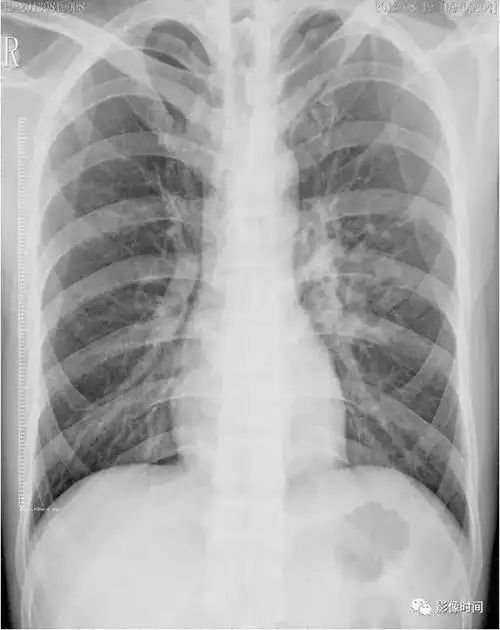
支原体肺炎影像分析
下载原图
相关图片
支气管炎改变这个词往往都是在影像学报告上所说的,就是说从胸片
病例 1:同一小叶性肺炎患者于同日拍摄的胸片和肺 ct.
胸片如何看肺炎,这篇文章帮你立刻入门!
正常胸片 大叶性肺炎
有时候需要拍胸片.
(a) 最初的胸片显示两个下肺区,尤其是左心后区,边界不清的结节影
为你推荐
人物侧脸
组图:闫妮凹造型大秀瘦身成果 招牌笑容显娇俏_高清图集_新浪网
《圣斗士星矢》真实的圣战是诸神的游戏,还是在地面进行"养蛊"
卡通形状扇子png素材透明免抠图片装饰效果
明确了!台州人免费,半价!
hero(英雄)__hero(英雄)品牌专区__【礼品 礼物 定制 加印logo 买什么
雷州市区地图_湛江地图_高清版_下载-政区地图
广东省普宁市育才学校