图知网
搜索
首页
热门推荐
图片分类
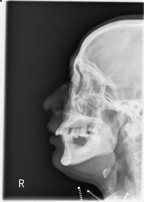
根据鼻面部外伤史,鼻部的视诊,触诊和鼻腔的检查,结合鼻骨x线侧位摄片
下载原图
相关图片
鼻梁歪很难看这要怎么矫正啊隆鼻能矫正鼻梁歪吗
鼻孔不对称严重
求看脸鼻骨宽左右脸不对称颧弓凸太阳穴凹陷额头扁平有什么办法可以整
的取走"耳软骨"垫鼻子,下图可明显看出一边耳廓凹进去一些,两边不对称
万女士鼻柱软骨突出万女士在佳美医院签订的手术合同花了近两万元
和大家分享一个鼻骨发育异常的
为你推荐
南通军山风景 - 太阳神-天域 - 图虫
笑容美女可爱开心gif动图_动态图_表情包下载_soogif
一城一味logo
渣反错过的番外03
eta2836机芯拆解清洗要点及摆尖维修
预计下周 西岭雪山高山杜鹃进入最佳观赏期|索道|赏花|杜鹃花_网易
人力资源管理体系课件
京剧生死恨