图知网
搜索
首页
热门推荐
图片分类
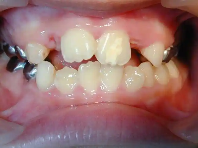
才一岁牙就这样了0901,不知道是钙化还是龋齿了,该怎么办, - 抖音
下载原图
相关图片
孩子的牙齿钙化是一个重要的生长发育过程,但也可能出现问题.
万能的抖音,我想问问有谁知道这是怎么回事,孩子也不喝饮料,这 - 抖音
两岁宝宝,这牙齿是怎么回事,坑坑洼洼的
过来人的经验告诉你,宝宝出第一颗乳牙就要开始护理了哦,保护好 - 抖
宝宝11个月开始 ,牙齿上一层黄黄的是什么啊?有没有姐妹知道 - 抖音
宝宝长第一颗牙齿07就要坚持给喷!
为你推荐
迪士尼公主女生头像
厕所蹲坑式防臭堵臭器大便池盆防臭防老鼠神器卫生间蹲便器堵孔塞
四,生活习性1,环境:淡水石斑鱼是热带淡水鱼类,也可在盐度10‰以下
童年无忌
清爽一夏,体验惊险刺激漂流景点地址:福建省漳州市长泰十里村1号地图
2022最新救护车简笔画 救护车简笔画彩色
防盗门坡道入户门坡道轮椅门槛坡斜坡板组合式门槛坡道扫地机坡道
外皮呈紫黑色,形状以长形和圆形为主,这种茄子看起来是黑色,其实际