图知网
搜索
首页
热门推荐
图片分类
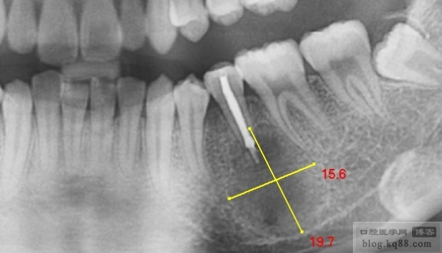
根尖囊肿
下载原图
相关图片
记一次根尖囊肿手术全过程
根尖囊肿看病及手术全过程
巨型根尖囊肿
求助本人患牙根管治疗后发现又出现一根尖囊肿求助各位大佬能不能保牙
最近做的两例根尖囊肿手术病例
巨型根尖囊肿
为你推荐
迪丽热巴 黑色礼服 气场全开
口味王和成天下槟榔100元冰榔包邮原厂一箱10包新鲜槟郎中奖贵的
鸳鸯袜子搭起来好酷01厚底小个子表示爱了~#鞋控の日常 #厚底凉鞋
qq里脊排裹粉大鸡排卡滋脆裹粉鸡排串商用油炸大鸡排1kg15串/包彩色裹
黑白轮廓动物图案
黄铜太极八卦镜纯铜阴阳镜工艺品家居摆件门对门楼梯口门窗风水
拍老婆逛商场 - 全身作品/裸足大本营的日志 - 网易博客
美乐家环保超市