图知网
搜索
首页
热门推荐
图片分类
普大型心梨形心靴形心的片子究竟怎么看啊丁香园
下载原图
相关图片
胸部治疗和监护设备的x线表现大全
高清心血管疾病影像诊断你的收藏里怎能没有如此精品
shs具有特征性的x线表现,心影小而狭长,各弧度平滑,心膈间隙较宽,长轴
执医技能x线阅片全是套路超简单
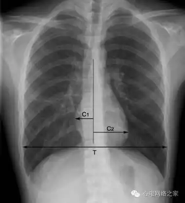
x线诊断
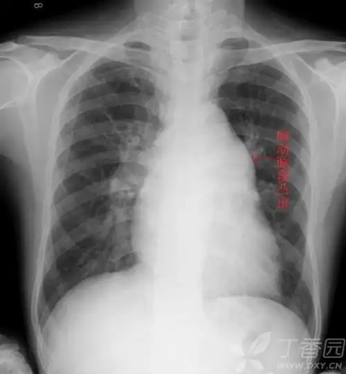
阅读x线胸片,这是一个靴形心脏的胸片.
为你推荐
成龙jackiechan的图片
易烊千玺不愧能火,穿黑色西装配金色身材针,骨子里透着文雅
男星吴彦祖时尚先生封面大片不老男神帅气依旧
金色的龙纹矢量传统边框
柔美高清的温柔女生头像最新版 抖音超火的可爱甜美正脸女头
20240130 肖战 x 宝诗龙 "icons世家标志"广告大片横屏版
那些温暖人心的动物母子,自然界母爱的伟大
精选欧美非主流黑白美女宽屏桌面壁纸下载