图知网
搜索
首页
热门推荐
图片分类
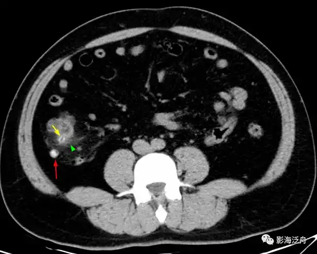
每日技能 | 病例分析之急性阑尾炎_诊断_复习_检查
下载原图
相关图片
临床病例分析消化系统急性阑尾炎
网售北京5家医院诊断证明书 院方证实确系伪造
图片来源:科学家庭育儿原创总之,发现孩子阑尾炎后要及时诊断,及时
阑尾癌_新浪财经_新浪网
小心误诊,这可不是急性阑尾炎!_盲肠_病例_诊断
小心误诊,这可不是急性阑尾炎!_盲肠_病例_诊断
为你推荐
看了全红婵启蒙教练一番话,我顿悟为什么父母都要经历3次狠心_孩子
京润珍珠晴柔银s925淡水珍珠吊坠11-12mm珍珠项链女大颗粒送爱人送
金起范首谈退出sj原因未受排挤同样有演员梦的韩庚待遇却不同
别以为脸上抹灰就是丑女了,论放得下身段,这9位才是扮丑教科书
电热水壶突然炸裂!家里还在用电热水壶的注意啦
手工#
历史理论园林个论之网师园
ba作品干货德清绿城观云小镇合院项目打造过程全景呈现