图知网
搜索
首页
热门推荐
图片分类
2015日历图片
下载原图
相关图片
2015精美日历(可以直接打印)
2015年年历图片
2015年日历图片
2015年日历表素材psd
唯美梦幻的羊年日历设计矢量素材光晕光效光斑梦幻背景2015年年历日历
下载《2015年羊年年历表单页挂历》源文件
为你推荐
白敬亭这身材谁看了不迷糊啊
萌宠情侣头像第一弹
lets fall in love for the night吉他谱 张怡-彼岸吉他 - 一站式
供应 美规三插电源线 美式 美标 美国三插头 美规电源线 推广
小数数位顺序表 - 百度文库
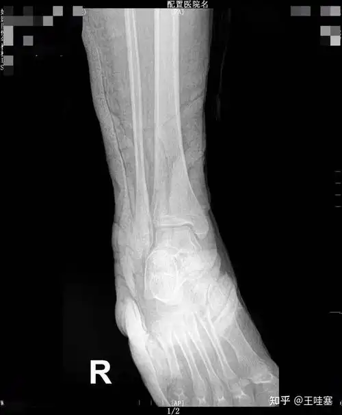
轻微骨裂拍的x片 看不懂 请问已经好了吗?
人民想要更好的代步车于是第三代马卡龙上市了售价468万
tg动画 海的女儿(男子失足落水被人鱼救变成人鱼)