图知网
搜索
首页
热门推荐
图片分类
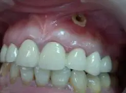
严重吗?
下载原图
相关图片
四岁宝宝牙龈发炎鼓包医生说是根尖囊肿还有龋齿
牙龈上长了一个囊肿
根尖脓肿
本人牙龈上长了一个脓包 不痛不痒 经观察刚好在一
一例超声骨刀摘除上前牙根尖囊肿
根尖囊肿
为你推荐
快过年了,你是如何躲避各种相亲的呢?
黄色大厦简笔画
宋思娴—北方娱乐网_中国演艺行业门户网站_大众演艺平台
有谁知道"长江之歌"的简谱?
矿泉水免抠元素图片_元素素材5774465_万素网
致不灭的你第二季,不死成大叔与哈亚瑟的转世继续纠缠
艺翔梦幻城堡
三星sgh-800c