图知网
搜索
首页
热门推荐
图片分类
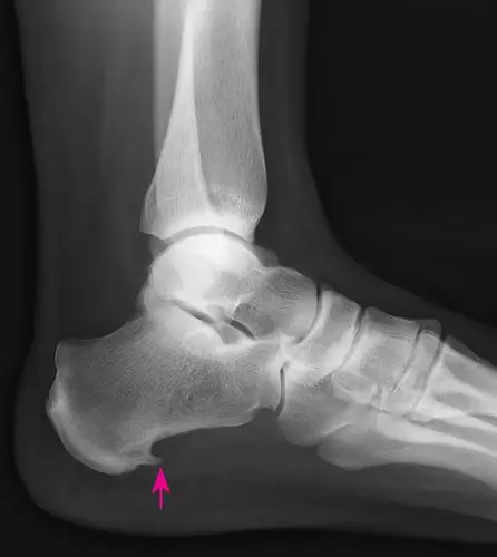
每日狂跳3小时广场舞大妈脚底长出2厘米长骨刺
下载原图
相关图片
经x光摄影发觉拇指腕掌关节退化并骨刺增生的情形(图片/台大竹东分院
跟骨骨刺
看看骨刺长啥样
骨刺是骨骼上的异常骨增生,常常发生在关节或骨头结合处,可能导致疼痛
骨质增生
"骨刺"是不是一定要去掉呢?
为你推荐
健康长寿头像 祝福老人健康长寿福禄头像图片_微信头像图片大全
狗的画法简笔画可爱哈士奇
董超,这个名字对于深圳乃至全国的观众来说都不陌生.他以其独特的主持
100元新台币标十,合计100
(有空耳)益安宁丸2017广告倒放版
小数竖式计算专项训练
颈部寻常疣图
带着微博去旅行##特斯拉##川西旅行