图知网
搜索
首页
热门推荐
图片分类
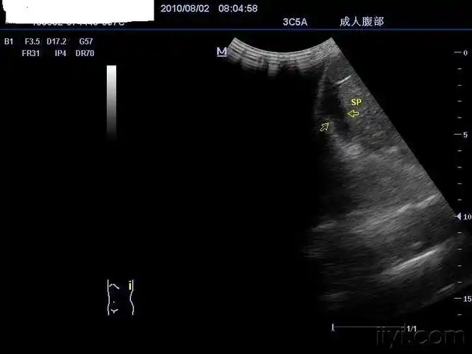
脾破裂(脾内血肿),脾周血肿
下载原图
相关图片
脾包膜下破裂.
半夜来的脾破裂
脾破裂腹腔积液病例一则
【答案解析】_脾破裂声像图特征:①脾包膜,边缘不规则,连续中断②脾周
半夜来的脾破裂
是包膜下脾破裂吗
为你推荐
你是我的可遇不可求——致前任
今天带你看肖战家
居民们说:幸福感提升一大截!_新城区
与熊猫贝贝一起踏上精彩的闯荡旅途!
合拍@雷吉内德达达定制
淘宝理赔流程是什么意思
幼儿园 学前班培训海报宣传单背景素材
商朝妲己古尸还原图,确实漂亮,怪不得纣王痴迷不已