图知网
搜索
首页
热门推荐
图片分类
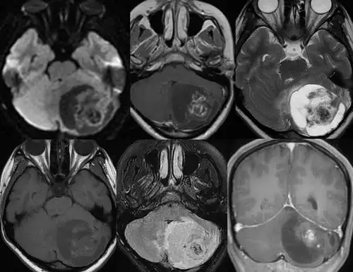
毛细胞性星形细胞瘤
下载原图
相关图片
低级别弥漫性星形细胞瘤的影像学特征theneurosurgicalatlas全文翻译
毛细胞型星形细胞瘤,多形性黄色星形细胞瘤,室管膜下巨细胞星形细胞瘤
多形性黄色星形细胞瘤1例mr影像
(二)星形细胞瘤:Ⅰ级
间变性星形细胞瘤,等你分析 | 读片专栏933期
可单纯手术治愈的毛细胞星形细胞瘤不是所有胶质瘤都要放化疗
为你推荐
蔡徐坤蓝发微信状态80
粉红色绣球花开得漂亮,粉红色背景上有绿色的叶子,俯视平铺复制空间.
原创硬糖少女303陈卓璇卡通造型
海欣正宗爆汁小鱼丸500克包火锅丸子麻辣烫关东煮
施工情境三 钢筋砼条形基础施工ppt
手足口病的症状初期图片
白金锦鲤龙凤招财白色金鱼直销包邮批发镇宅
今天的风好大~二花