图知网
搜索
首页
热门推荐
图片分类
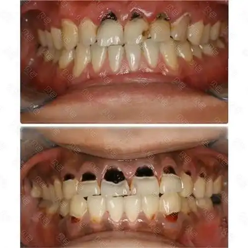
酸酸会不断腐蚀牙齿其实和可乐里的糖有关系为什么喝可乐会伤害牙齿?
下载原图
相关图片
喝可乐久了牙齿会腐蚀掉碳酸饮料到底对牙齿有什么危害
爱喝可乐的我看到这个牙齿得了牙齿酸蚀症真的怕了
12岁男孩,经常把饮料当水喝,牙齿大范围脱矿,缺损,轻触一块块都碎了.
牙齿很脏又发黄?别急着洗牙,教你一招,刷完的牙齿亮白又清新!
夏天快来咯,如何优雅的喝可乐,才能把牙齿的损伤降到
连续喝一个月可乐会有什么后果?
为你推荐
维多秘密何穗
贵阳三人穷游行 - 贵阳游记攻略【携程攻略】
美的牌电风扇配件落地台扇转页升降扇通用120分钟定时器开关
出口atv宗申250cc四驱沙滩摩托车大公牛轴传动四轮越野赛车山地跑
缰绳·无敌风火轮
厂家直销2018大象摇摇车小象摇摆机吹泡泡儿童电动投币瑶瑶马
石巴子养殖技术为什么很少有人愿意养石巴子鱼
蒋勋与林怀民的故事告诉我们什么道理 _飞翔号