图知网
搜索
首页
热门推荐
图片分类
起初,五星红旗并不是最受欢迎的国旗方案,但却被定为国旗,为啥_网易
下载原图
相关图片
抖音最火壁纸
情怀壁纸受得住敷衍忍得住欺骗忘得了承诺放得下一切
与国旗同框真情告白祖国院设备所开展庆祝新中国成立70周年活动
渭河61体艺风采用我们的行动守护神圣的中国红渭河小学举行国旗班
天安门旗杆有326米为何国旗只升到283米作为炎黄子孙要明白
原创全球总共有198面国旗,为何没有国家用紫色?专家:想用,但不能
为你推荐
月上重火 上官透 罗云熙
哈库拉玛塔塔;hakuna matata
已注销的相册存
42岁离异女征婚照片(id:88729206)_辽宁盘锦征婚交友_珍爱网
c919大飞机被停飞了,给中国航空工业带来了巨大的冲击.
黑白装饰画
【魔女之旅】从今天起,你每天都可以见到伊蕾娜了!动态壁纸
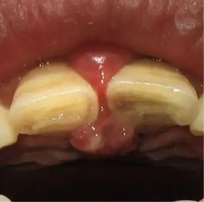
牙龈瘤长什么样?