图知网
搜索
首页
热门推荐
图片分类
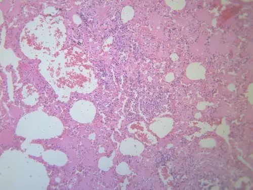
小叶性肺炎显微图片第2张
下载原图
相关图片
小叶性肺炎显微图片第17张
小叶性肺炎:细支气管及所属的肺泡腔内充满大量 中性粒细胞 肺泡腔
病理学呼吸系统疾病之小叶性肺炎
显微镜下小叶性肺炎人体病理生物样本
小叶性肺炎病理ppt
小叶性肺炎显微图片20张
为你推荐
蔡徐坤卡通头像大全超可爱 友情都存在吃醋更别说爱情了
谭松韵中国高保湿敦煌挑战
男发剪来剪去,两侧铲短大背头最帅气|大背头|发型|发质_新浪新闻
overtherainbow简谱乐谱
郑晓龙红高粱周迅朱亚文人物剧照高清桌面壁纸(一)
朱丹二胎儿子出生晒母乳满满自豪感老公周一围太低调
x6132 universal cnc knee-type milling machine
唯一的"菩萨皇帝",40年不近女色,死后沦为千年笑柄_萧衍_汉武帝_萧鸾