图知网
搜索
首页
热门推荐
图片分类
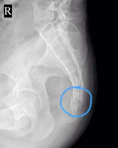
55岁不幸患尾骨骨折,花费近六千元骶尾部疼痛好转
下载原图
相关图片
众所周知,人类从猿人进化过来,尾巴也随着退化成尾椎骨.
狮子式缓解尾骨疼痛助于恢复错位的尾骨
[脊柱精讲]令人坐立不安的尾椎骨疼痛到底该怎么治
骶尾骨骨折后生小孩能顺产吗?如要不能还能正过来吗?
尾巴骨上部,也就是脊柱关节处有点凸起,但不明显,这是我们这三甲医院
【健康咨询】尾椎骨疼痛的原因
为你推荐
英雄之城迎来"英雄联盟" ,"ra电子竞技俱乐部"落地武汉!
侦探图片
[changed]如果现在再尝试速画一只白胶骑士会怎么样?
朴树newboy尤克里里弹唱曲谱标准四线谱
华为【mate20 pro(ud)】全网通 黑色 8g/128g 国行 7成新
67世界上最可爱的鱼金波子体长可达9厘米
拥挤的马尼拉贫民窟
alpha industries羽绒服服装款式图片,服装设计资料