图知网
搜索
首页
热门推荐
图片分类
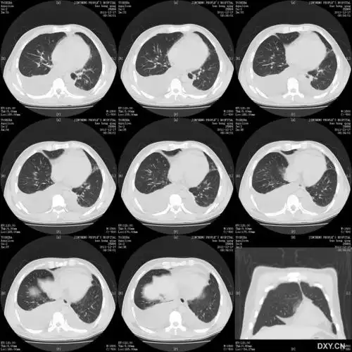
左肺门占位一例
下载原图
相关图片
入院复查ct提示:左肺门占位,边缘好像不太光滑,有毛刺征.
【病例讨论】左肺占位 [病例帖]
【讨论】右肺占位(25994)
左肺门占位一例
右肺门占位,右上肺不张,纵隔淋巴结肿大,右肺中央性肺癌没得跑.
左肺门占位一例
为你推荐
黄子韬丨阳光帅气男神高清壁纸图片精选
188男团表情包2
枝叶精品原创素材下载,您当前访问作品主题是庭院绿化植物红叶石楠
如何评价王者荣耀貂蝉新出的 fmvp 皮肤「猫影幻舞」?
表情| 可爱灰色小企鹅表情包2
最爱印象派月季00
各种职业人群的简笔画简笔画画个简笔画文化绘画
在1921年的时候,茱莉亚母子的遗体标本出现在挪威供人参观.