图知网
搜索
首页
热门推荐
图片分类
你为什么喜欢王俊凯?
下载原图
相关图片
十之九,#壁纸 #我的神仙爱豆 #王俊凯 #王俊凯让人心动的 - 抖音
王俊凯帅气神颜美图奶茶系小凯惊艳亮相
神仙颜值绝对抗打! 期待神秘组织《749局》关于成长的浪漫征途.
王俊凯壁纸:独一无二的神仙颜值,真的是能抗能打
手机壁纸聊天背景王俊凯少女心壁纸神仙背景赞评论更多
王俊凯九宫格~一起来欣赏凯凯的绝世美颜叭
为你推荐
张国荣 no. 1 - 堆糖,美图壁纸兴趣社区
微信朋友们来喝酒表情包
女孩长发1米2
心中的苦楚自己一个人承受
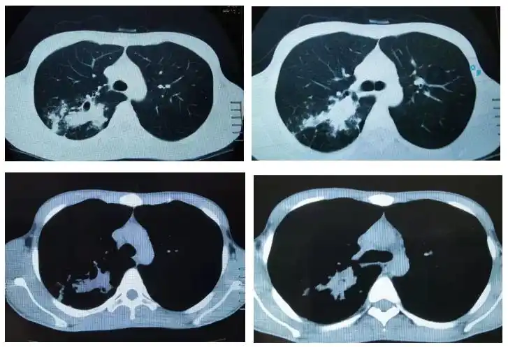
咳嗽咳痰6年小伙吃激素竟吃出肺结核
omega欧米茄自动机械表男商务休闲时尚百搭运动防水男士腕表
迭部县组织干部职工开展植树造林活动
情侣晚安专用微信表情包 晚安么么哒 表情包图片