图知网
搜索
首页
热门推荐
图片分类
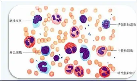
临床基础检验技术 #白细胞形态鉴别 #显微镜下的世界
下载原图
相关图片
白细胞 红细胞 人的血细胞彩图 血小板
上面三张照片所选的观察部位并不适合进行白细胞形态学的观察,这里红
不同白细胞分类计数原理
白细胞分类计数第1页 你可能喜欢 分类计数 细胞计数 血细胞形态学 血
x医生谈血液神奇的白细胞战队
红细胞|贫血|白细胞|血小板_网易订阅
为你推荐
标签or标准 揭儿童食品不为人知的一面-中关村在线
动漫gif屁股gif太污了gif扭动gif
伯远开一个我老婆的表情包楼78
古董# #藏品# #饰品
批发四川泡小米椒 泡青椒 青尖椒 泡辣椒 川菜酒店专用 45kg
阳台顶装修效果图大全_斜顶阳台装修效果图_阁楼装修效果图斜顶
翔顺金水台温泉小镇
常见水果含糖量top排行榜