图知网
搜索
首页
热门推荐
图片分类
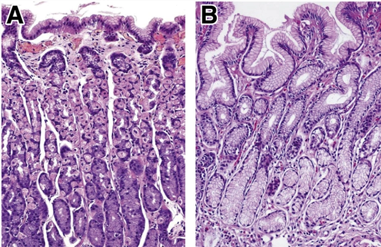
慢性萎缩性胃炎光镜
下载原图
相关图片
萎缩性胃炎分型(图2)
慢性萎缩性胃炎显微切片图片
浅表糜烂性胃炎,病理检查:(胃窦黏膜)灶性肠化,确诊为慢性萎缩性胃炎
慢性萎缩性胃炎_介绍_发病原因_治疗方式 - 好大夫在线
文献选读关于萎缩性胃炎的组织病理学问题
你一定要知道萎缩性胃炎有什么症状?胃镜下显示会有什么不同?
为你推荐
撩人的肖战#啊啊啊…这个嘟嘴挑眉,太可了
小处男做我男朋友呗一组魔性的熊猫头动态表情包斗图表情
雨露下唯美四叶草梦幻写实壁纸插画
枝条长满钩子,人们称它"金钩草",这种药用植物很珍贵
18年施一公砸200亿打造西湖大学扬言5年内超过清华结果怎样了
西部世界第二季第一集剧情解析暗夜之旅
巨人僵尸
柜子好不好,柜门说了算_材质