图知网
搜索
首页
热门推荐
图片分类
飞机在云层上翱翔,纯净的天空蓝蓝的,一尘不染.#飞机上的美景 - 抖音
下载原图
相关图片
坐飞机看风景
飞机上的景色
分享你们的飞机窗口风景图看看 好爱飞机!
在飞机上看日出93#飞机窗外的风景
飞机上拍摄的机翼风景图片(7/7)
其实飞机上能看到许多在地上看不到的美丽风景
为你推荐
世界各国国旗图片及名称
2月7日 16:52 关注 桌面壁纸 锁屏壁纸 聊天背景 评论 收藏
活动作品地藏伏魔录什么职业最厉害强势职业推荐攻略
广汽三菱劲炫asx直降1.7万元 郑州现车热销_车讯网chexun.com-车讯网
纯铜龙生九子椒图狻猊睚眦蚣蝮饕餮狴犴蒲牢螭吻赑屃镇宅风水摆件
绮丽屋日本动漫周边超级弹丸论破2日向创狛枝凪斗车贴墙贴满包邮
【全职高手/手书】周叶原著向mad
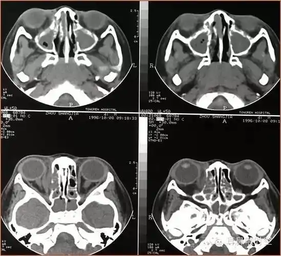
急性鼻窦炎并发症脓肿骨壁破坏ct:鼻窦密度增高water氏位:窦腔混浊,液