图知网
搜索
首页
热门推荐
图片分类
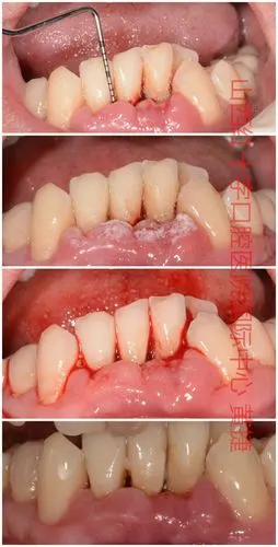
牙槽脓肿,最里面的牙齿周边已经溃烂,脸部红肿有硬块,扁桃体疼痛,头痛
下载原图
相关图片
牙周脓肿病例
牙周脓肿一例 - 好大夫在线
牙周脓肿病例展示
牙龈旁边长个大脓包都一两个月了,肿了,特别疼怎么办啊
如果是牙周引起的脓包,治疗原则就是止痛防止感染扩散,由医生将牙周袋
我女儿,牙龈处有一个肿块.疼痛,有一白点,可能是化脓了,我该怎么处理
为你推荐
蔡徐坤黑色西服时髦酷帅写真图片89
藤原拓海(takumi fujiwara)
发作品不是为了多少点赞多少浏览是发几张自己喜欢的
星球大战类游戏大全
[每日赞美诗]20191017 每一次我赞美主
风水彩晕染png素材烟青色水彩晕染水墨效果笔刷png元素水彩背景水彩
豪华养仓鼠每月平均多少
童年的水墨画表现了童年生活的什么和什么