图知网
搜索
首页
热门推荐
图片分类
女子胆管内长出巨型结石重量超半斤比胆管粗了10倍
下载原图
相关图片
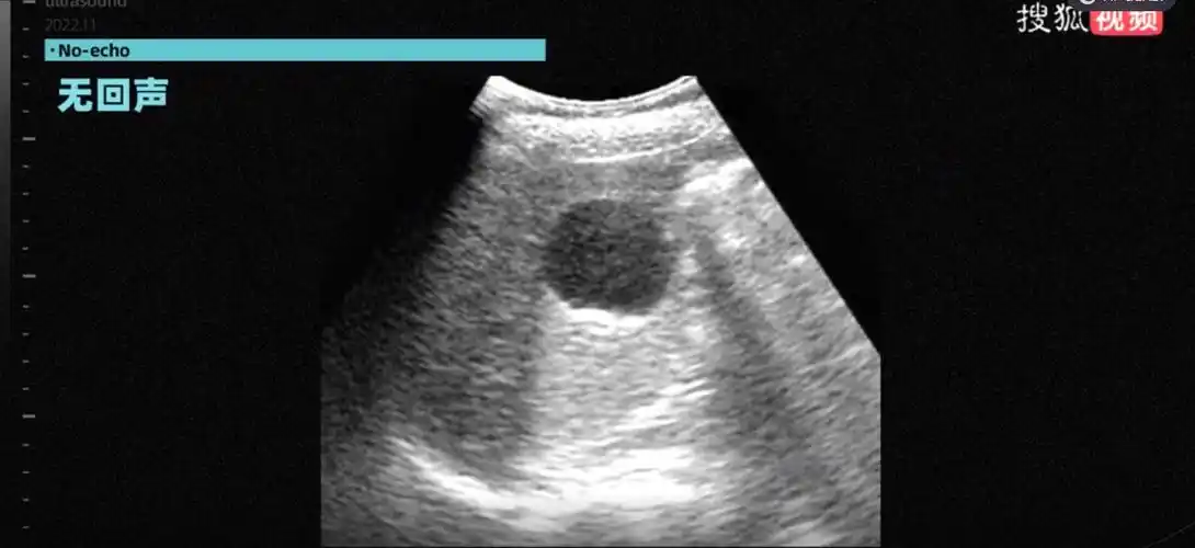
b超"回声"大揭秘:胆结石是怎么被发现的?_超声_图像_反射
重视其"小弟"胆囊结石
b超"回声"大揭秘:胆结石是怎么被发现的?_超声_图像_反射
女子爱吃猪内脏胆囊养出六颗话梅结石
女子聚会大吃大喝,结果"引爆"胆结石频繁腹痛
查腹部ct提示关爹爹的胆总管下段结石,胆囊结石伴慢性胆囊炎急性发作
为你推荐
首页 桌面壁纸 卡通动漫 二次元软萌动漫美少女图片电脑壁纸 1920
大红喜字一定要学起来,真的太漂亮了,简单还好看,家有喜事必学 - 抖音
1978年的《萧十一郎》80年的《千王之王》都令谢贤成为当之无愧的收视
高冷女生头像|橙黄|暗色调 #二次元新鲜事#|#动漫
最强nba-官方网站-腾讯游戏
垃圾处理不善付出了十分沉重的代价在你看不见的远方有无数人正在承受
恩典的记号 歌谱 简谱
ayer艾儿铁二价铁浓缩美国原装进口甘氨酸螯合亚铁正品易携带包邮