图知网
搜索
首页
热门推荐
图片分类
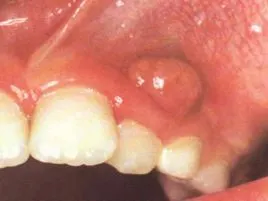
关于根尖周病变,你知道多少?
下载原图
相关图片
八岁小孩牙龈上长了个很大的脓包,孩子说不疼不痒,按压的话有点疼,请
急性根尖周炎
3岁半小宝宝门牙蛀了,然后牙龈上用总长脓包好了两天又长好了又长
四岁宝宝牙龈发炎鼓包医生说是根尖囊肿还有龋齿
2周岁宝宝牙龈上长了个脓包
一例根尖周脓肿 - 口腔专业讨论版 -丁香园论坛
为你推荐
魔道祖师聂怀桑女装大智若愚峰藏处大巧若拙怀空谷我本不晓人间事后来
男神穿搭优雅时尚自信不张扬,男对于穿着的重视程度往往超过女性
用高速摄影机捕捉子弹的冲击画面
银河·奥特曼《ウルトラマンギンガの歌》鼓谱_架子鼓谱
得了糖尿病不能吃水果?孙惠英医生:别被这句话坑了!
新相亲大会第三季今晚浪漫收官独立女性讲述爱情里的原则与底线
抗击疫情北京会员张曦文京韵大鼓祈福中华
今天上课画的金刚狼