图知网
搜索
首页
热门推荐
图片分类
卯榫结构图
下载原图
相关图片
榫卯
中国古建筑木构件连接榫卯结构简介 (一)
隼牟结构—值得收藏学习的木工老手艺_木工接榫施工示意图.jpg
中国古建筑木构件连接榫卯结构简介 (一) | 中国木工爱好者
中华榫卯:好大的一套书,内容详细,尺寸均有标注!
抱肩榫结构图
为你推荐
可爱呆萌简笔画可爱卡通
橘子拟人简笔画
二次元情侣最萌身高差迷你萌妹纸可爱情侣图动漫情侣身高差
太厉害了!通州宋庄连发三个公告:这些村庄设计要国际招标
素材菊花瓣png素材水墨风清明节边框菊花边框小清新简约圆形边框png素
永宁古城.
索菲亚蛋糕小女孩儿蛋糕
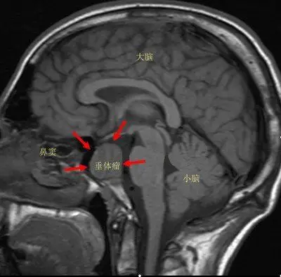
揭开垂体瘤神秘的面纱 - 好大夫在线