图知网
搜索
首页
热门推荐
图片分类
复古男人礼品百诚天宫多功能充气烟斗专用打火机明火斜火老式
下载原图
相关图片
打火机,是一种用来点燃香烟,蜡烛等物品的小型设备,通常由金属或塑料
新网红两用个性复古火柴万次打火机二合一煤油多功能煤油打火机
茄龙cigarloong雪茄打火机多功能合金防风强悍火力点烟器雪茄烟托精美
茄龙cigarloong雪茄打火机防风直冲充气创意多功能便携式焊枪打火机cl
充气打火机防风直冲电子手表多功能摇臂创意网红充气打火机
usb时尚多功能打火机超薄防风首选第四款连电脑硬盘都省了
为你推荐
漂亮的英文字,请把英文字母表告诉我,只要图片,好的追加分
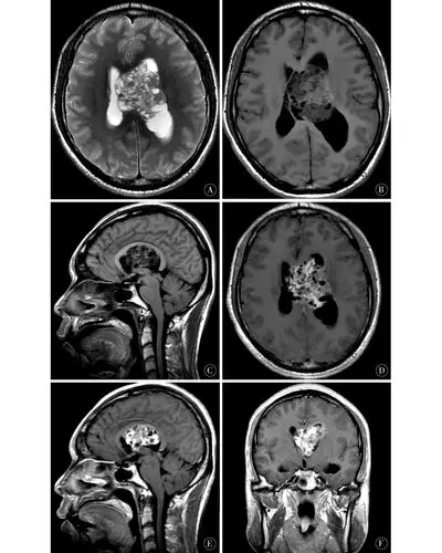
可见典型的" 丝瓜瓤症", 其内可见多个斑点状更长t 2信号影;b,c:轴位
小6小电瓶咨询大家
体感接物互动|体感游戏|暖场创意互动
恭贺下元三品五炁解厄水官 金灵洞阴大帝旸谷帝君 道诞千秋 志心称念
最惊艳的女配陈洁
简爱书籍人教版初中生九年级下册人民教育出版社人民文学出版社初中生
小子的相册-南无阿逸多菩萨摩诃萨